技术交流

扫描二维码
【Advanced NanoBiomed Research】全自动Digital WB系统助力神经退行性疾病药物递送系统研究
来自美国顶尖公立大学北卡罗来纳大学教堂山分校(University of North Carolina at Chapel Hill,简称:UNC)的科学家们,利用全自动Digital Western Blot系统,对不同细胞来源的细胞外囊泡(Extracellular Vesicles, EVs)进行蛋白表征,探索不同细胞来源的EVs作为治疗神经退行性疾病药物递送系统的可能性,相应结果发表在Advanced NanoBiomed Research (IF: 13.052)。

1
EVs简介
EVs的命名和分类

细胞外囊泡(Extracellular Vesicles, EVs)是由细胞释放的各种具有膜结构的囊泡结构统称。EVs根据其来源(细胞类型)、大小、形态和载荷分为:微泡(microvesicles)、外泌体(exosomes)、凋亡小体(apoptotic bodies)和癌小体(oncosomes)。目前作为药物递送系统研究最多是微泡和外泌体。EVs通过质膜出芽形成的称为微囊泡(microvesicles);多囊泡内体(Multivesicular Endosomes,MVEs)与质膜融合后,释放的腔内囊泡(Intraluminal vesicles,ILVs)称为外泌体(exosomes)。
EVs作为药物递送系统的优势

EVs具有:
A)能够穿过各种生物屏障,包括组织屏障或质膜,并通过endosomal运送载荷;
B)利用内源性细胞机制,在细胞核内生产或装配成相应的载荷物,然后装载到多泡体(Multivesicular Bodies,MVBs)或质膜,并最终以EVs形式释放到细胞外;
C)在脾脏和肝脏中具有较低的毒性,并且具有较低的免疫原性。
因此EVs已作为脂质体(Liposome)、纳米颗粒的生物替代品,进入了药物递送领域,用于治疗各种疾病,包括癌症、神经系统疾病(阿尔茨海默病、帕金森病、中风)、传染病(脑膜炎、人类免疫缺陷病毒(HIV)和HIV相关痴呆)、炎症性关节炎、以及自身免疫和心血管疾病(动脉粥样硬化和心脏病等)。

受体细胞摄入EVs的过程和机制

EVs可以通过多种途径被内化,内化会将外源性EVs靶向典型的内体通路,从而到达多囊泡内体(MVEs)。EVs停靠在MVEs的质膜上,通过膜融合将其内容物释放到受体细胞中。同时EVs也可以直接与受体细胞膜融合,将内容物释放到受体细胞中。EVs还可以通过细胞表面的整合素(Integrins)-细胞粘附分子(ICAM)的结合或抗原呈递等方式,对受体细胞进行细胞信号通路的调节或免疫调节。
2
研究内容
细胞外囊泡(EVs)将纳米颗粒大小与跨越生物屏障的非凡能力、低免疫原性和毒性特征相结合,成为了一类有前途的药物递送系统。因此如何成功应用这种输送生物化合物的自然方式,需要深入了解EV从其母细胞继承的内在特性。因此本文评估了不同来源的细胞释放的EVs,利用其将药物输送到大脑,来治疗神经退行性疾病。本文通过一些检测方法对原代巨噬细胞(mEV)、神经元(nEV)和星形胶质细胞(aEV)分泌的EV的形态、大小、zeta电位、表面蛋白进行鉴定和分析。结果显示与nEVs和aEVs相比,mEVs显示出对炎性组织更高水平的粘附性和靶向性。同时,在帕金森病转基因小鼠模型中,mEVs的大脑积累水平明显高于nEVs和aEVs。因此,mEVs被认为是最有前途的将药物输送到大脑的纳米载体系统。
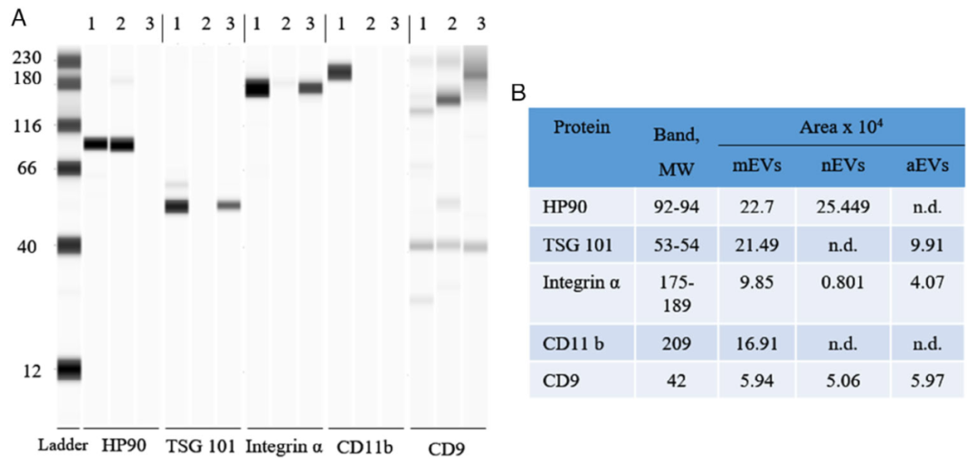
全自动Digital WB表征EVs膜蛋白揭示mEVs高粘附和靶向炎症组织能力

HP90(HSP90):热休克蛋白,EVs表面特异性marker;
TSG101:四跨膜蛋白,EVs表面特异性marker;
Integrin α:整合素α,EVs表面特异性marker;
CD11b:属于Integrin β2家族,通常在白细胞(如巨噬细胞)表面表达;
CD9:四跨膜蛋白,EVs表面特异性marker。
研究结果:本文利用利用全自动Digital Western Blot技术,对不同来源的EVs膜蛋白进行表征,结果显示与nEVs和aEVs相比,mEVs显示出最高水平的四跨膜蛋白和整合素的表达,表明mEVs对炎性组织的粘附性和靶向性更高。在帕金森病转基因小鼠模型中也得到了相同结论。证实mEVs对比nEVs和aEVs而言,是能将药物递送到大脑的更有前途的一种纳米载体系统。

其它神经方面的研究请见以下链接:
全自动Digital Western Blot揭示多小脑回畸形发病新机制
Wes助力:中科院阎锡蕴课题组协同北大医院神经内科郝洪军主任 共同揭示血脑屏障损伤机制
Milo单细胞Western blot开启神经生物学研究新纪元


参考文献:
1. Extracellular Vesicles as Drug Delivery System for the Treatment of Neurodegenerative Disorders: Optimization of the Cell Source.
2.Shedding light on the cell biology of extracellular vesicles.
3.Extracellular Vesicles as Drug Delivery Vehicles to the Central Nervous System.
4.Extracellular vesicles as drug delivery systems: Why and how?
5.β2 integrins As Regulators of Dendritic Cell, Monocyte, and Macrophage Function.


