技术交流

扫描二维码
【NIFDC经典文献系列赏析】融合蛋白电荷变异体表征先进技术
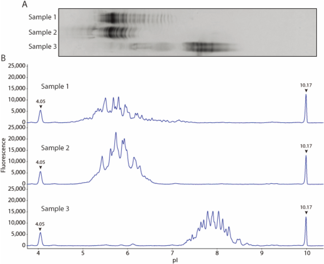
蛋白新药的设计得益于重组DNA技术的发展。融合蛋白是指通过基因融合两个或更多蛋白质结构域来创造一个具有新功能的嵌合蛋白。每个融合体的功能通常分为一个载体结构域和一个效应结构域,前者有助于提高稳定性和药代动力学,后者具有从细胞毒性到识别和结合等不同的功能。截至2019年,已有11种Fc融合蛋白疗法被FDA批准。 生物制药的电荷变异体(电荷异质性)来自翻译后修饰,如磷酸化、糖基化和脱酰胺化,须在整个生产过程中密切监测,因为它可能影响产品的安全性和有效性。全柱成像毛细管等电聚焦(icIEF)已被证明有诸多良好检测性能特征,如高分辨率、自动化、定量准确、重现性好和易用性。凭借这些优势,它已成为生物制品,特别是单克隆抗体电荷变异体表征的主流技术。 与单克隆抗体等传统生物药相比,融合蛋白的电荷异质性差异更大,这使得表征融合蛋白成为一个挑战。建立一种适用于分析多种融合蛋白的平台方法可以方便方法开发并且简化生产流程。2021年,中国食品药品鉴定研究院(NIFDC)利用全柱成像毛细管等电聚焦电泳技术的双通道(紫外&自发荧光)表征9种融合蛋白药物的电荷异质性,其中6种蛋白为商业化蛋白。紫外吸收UV280nm是经典icIEF等电聚焦电泳检测通道。自发荧光(NIF:Native Fluorescence)是指利用芳香族氨基酸(色氨酸、酪氨酸、苯丙氨酸)的自发荧光来实现检测,无需添加染料。 结果表明,icIEF方法可用于重组蛋白类药物电荷异质性及等电点分析。该方法快速、准确、重复性好,为保障融合蛋白类产品生产工艺的稳定性及质量控制提供了一种可靠的平台分析方法。 9种融合蛋白 9种融合蛋白治疗剂(在本研究中被命名为样品1-9),其中6种已商业化,包括: 样品1:安进公司的依那西普; 样品2:百时美施贵宝公司的阿巴泰普; 样品3:再生元公司的阿夫利贝特; 样品5:重组人肿瘤坏死因子-α受体II:海正药业的IgG Fc融合蛋白; 样品6:嘉宏药业的康柏西肽; 样品7:百时美施贵宝的贝拉塔塞普; 三个样品正处于不同临床试验阶段,包括VEGFR-Fc融合蛋白样品4,血小板生成素模拟肽-Fc融合蛋白样品8和胰高血糖素样肽-1-Fc融合蛋白样品9。 结果 通用稳定剂SimpleSol 大多数融合蛋白在传统电聚焦凝胶电泳(IEF)分析过程中会聚集或沉淀,需要添加剂来保持稳定性。尿素已被证明可以减少蛋白质聚集,并提高IEF分析的重复性。因为本研究的目的是开发一个平台方法,所以需要确定一种能在多种融合蛋白中发挥作用的稳定剂。为此,研究人员比较了尿素和商业稳定剂SimpleSol(来自ProteinSimple)对三种不同的融合蛋白治疗剂(样品1-3)的影响。 在没有稳定剂的情况下,样品1在电泳分析过程中发生聚集,形成不可重复的峰型(图1)。在加入2M尿素的情况下,样品1的峰型重复性得到提升。然而,在有尿素的情况下,峰高明显降低,约为无尿素情况的25%。相比之下,当样品1在含50%的SimpleSol的体系下进行分析时,峰型变得可重复,而且峰高和分辨率都保持不变(图1)。因此,对于样品1,SimpleSol比尿素更适合作为icIEF分析的稳定剂。 图1 对于样品2,在没有添加稳定剂的情况下也观察到了聚集现象,导致了峰型的不可重复(图2)。与样品1不同,加入2M尿素并没有改善峰型的分离。只有当加入4M尿素时,峰型才变得可重现。然而,在这两种条件下,峰高和分辨率也都明显降低。在SimpleSol的存在下,峰高和分辨率都得到了保持(图2),再次证明SimpleSol在稳定样品方面优于尿素。对于样品2,SimpleSol同样比尿素更适合作为icIEF分析的稳定剂。数据表明,SimpleSol可以作为一种通用的蛋白质稳定剂用于融合蛋白的icIEF分析方法。 图2 紫外吸收和自发荧光双通道检测 在紫外吸收检测模式下研究人员分析样品1,样品峰从嘈杂的基线中区分不明显(图3)。为了克服这一挑战,研究人员同时利用自发荧光通道检测。与紫外吸收检测相比,荧光检测的每个峰组都显示出更高的信号,并且荧光检测的基线噪音更小。 图3 与传统IEF方法对比 icIEF方法与平板凝胶IEF方法产生了相似的峰型(图4)。然而,icIEF方法的每个峰的分辨率均得到了改善。此外,icIEF方法的灵敏度明显高于IEF方法;在获得凝胶IEF结果时,每个泳道要上样大约20μg的蛋白质,而利用icIEF分析时,最终样品溶液进样浓度为0.225μg/μL至0.45μg/μL。每次进样量约为5μL。相当于2.25μg-4.5μg的蛋白质,极大节约了样品。 图4. icIEF方法与平板IEF方法检测融合蛋白对比图 总结 NIFDC利用ProteinSimple全柱成像毛细管等电聚焦电泳技术建立并证明了用于融合蛋白电荷异质性表征的方法平台。该平台有如下特点: 使用了通用的蛋白质稳定剂SimpleSol,可以有效避免融合蛋白发生聚集或沉淀。对于一些样品,无需任何添加剂就能获得可重复峰型,与没有稳定剂的相同蛋白质的峰型相比,添加这种稳定剂对蛋白质的峰型的不利影响很小。使得该方法可以广泛用于分析多种融合蛋白,而不需要根据不同的样品更换稳定剂。 同时可通过紫外和自发荧光双通道来检测蛋白质。自发荧光检测模式利用芳香族氨基酸(色氨酸、酪氨酸、苯丙氨酸)的自发荧光来实现且无需染料,可以提高灵敏度,减少由载体两性电解质引起的背景噪音。 通过icIEF分离得到的每个峰组分的峰面积百分比和表观pI值,重复性好。总共对9种融合蛋白药物进行表征,每个组分的峰面积百分比和表观PI值的定量分析都有极佳的重复性。 扫描下方二维码,获取ProteinSimple 融合蛋白表征解决方案 参考文献: 1. Wu, Gang et al. “A platform method for charge heterogeneity characterization of fusion proteins by icIEF.” Analytical biochemistry vol. 638 (2022): 114505. 关于我们 ProteinSimple是美国纳斯达克上市公司Bio-Techne集团(NASDAQ:TECH)旗下行业领先的蛋白质分析品牌。我们致力于研发和生产更精准、更快速、更灵敏的创新性蛋白质分析工具,包括蛋白质电荷表征、蛋白质纯度分析、蛋白质翻译后修饰定量检测、蛋白质免疫实验如Western和ELISA定量检测蛋白质表达等技术,帮助疫苗研发、生物制药、细胞治疗、基因治疗、生物医学和生命科学等领域科学家解决蛋白质分析问题,深度解析蛋白质和疾病相互关系。 联系我们 地址:上海市长宁路1193号来福士广场3幢1901室 电话:021-60276091 热线:4000-863-973 邮箱:PS-Marketing.CN@bio-techne.com 网址:www.bio-techne.com





