技术交流

扫描二维码
可「甜」可「盐」的Digital Western,你不想来一口?
真的猛士,敢于直面惨淡的人生,敢于正视淋漓的鲜血。 真实客观的科学数据:经得起重复和验证!
全自动毛细管Digital Western(也称Simple Western)Jess平台,真是可「甜」可「盐」!
•选内参蛋白作为归一化,okk!
•选总蛋白归一化,okk!
•全自动洗脱重杂交RePlex技术,okk!
•想做化学发光,okk!
•想做双色荧光,okk!
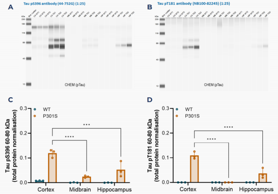
近日,英国生物技术公司Sygnature Discovery利用全自动毛细管Digital Western(Simple Western) Jess平台对野生型(Wild-type)和P301S小鼠(阿尔茨海默病转基因小鼠模型),对小鼠不同脑区,包括皮层、中脑和海马区的组织裂解液中的,总Tau和磷酸化的Tau蛋白的异构体进行检测。 在Jess平台,Protein Normalization蛋白归一化是通过多种不同方式实现的,包括检测内参蛋白β-actin水平,也利用了RePlex技术和总蛋白归一化试剂盒。上样量,仅需3 μL,3小时即可获得一批样本(13或24个)的结果。 基于Jess的不同归一化验证模式得出结论:P301S小鼠的不同脑区的总Tau水平显著性增加。 同时结果显示,对比野生型小鼠,P301S小鼠 S396(丝氨酸位点)和T181(苏氨酸位点) pTau显著增高;这些pTau蛋白的亚型水平在P301S小鼠的大脑区域表达量差异较大,其中皮质层中的浓度最高。 这项研究中,研究人员还利用ELISA作为正交实验,检测出同样与Jess一致的结论! 研究亮点在于,基于Jess平台可利用不同的检测方式,去验证结果,可「甜」可「盐」的Jess提供给您非常灵活的选择。 内参跑不齐?不怕! 不同组织,内参表达差异大?不怕! 内参表达不稳定?不怕! 内参到底靠谱不靠谱?不纠结! 全自动总蛋白归一化,快来了解一下! 扫描下方二维码,免费约起线上技术讲座 深入了解可「甜」可「盐」的Jess! 每期线上技术交流介于20-30 min,如果您是i人,可以选择不用开摄像头的那种~ 请您确保填写信息准确无误,报名成功后,我们的工作人员会与您通过邮件敲定讲座时间。 线上「Digital Western技术快闪讲座」,免费约起!




